Array
رائح الآن
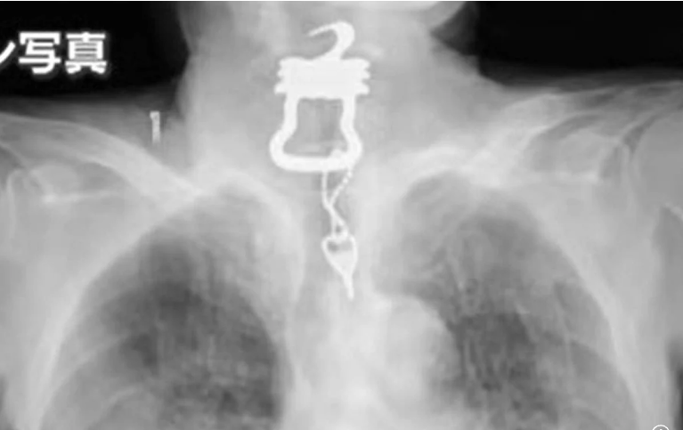
دعوى قضائية ضد مستشفى بعدما ابتلع أحد المرضى مفتاحا وتوفي
مقالات ذات صلة
مال واعمال
مواضيع رائجة
النشرة البريدية
اشترك للحصول على اخر الأخبار لحظة بلحظة الى بريدك الإلكتروني.
© 2026 جلوب تايم لاين. جميع الحقوق محفوظة.
Array
اشترك للحصول على اخر الأخبار لحظة بلحظة الى بريدك الإلكتروني.
Login to your account below.
